日韓歯科医師免許を持つ院長が流暢な日本語で直接診療!孔徳駅のインプラント専門歯科
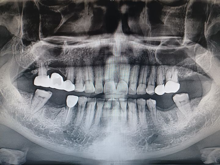
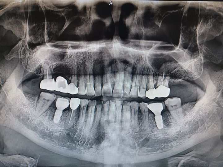
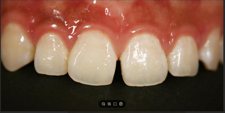
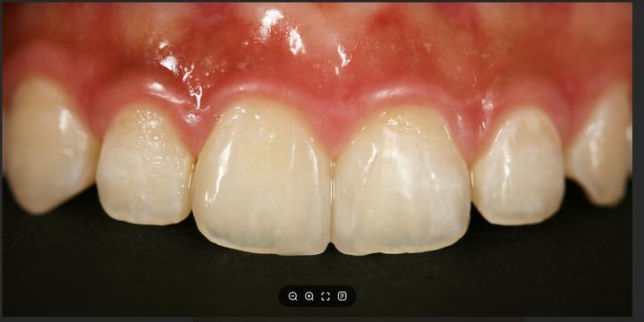
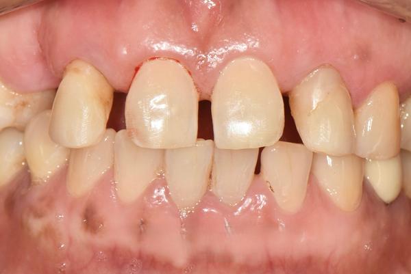
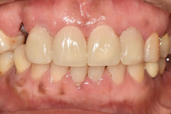
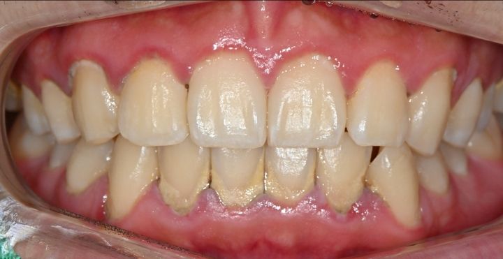
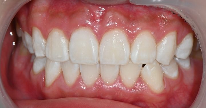
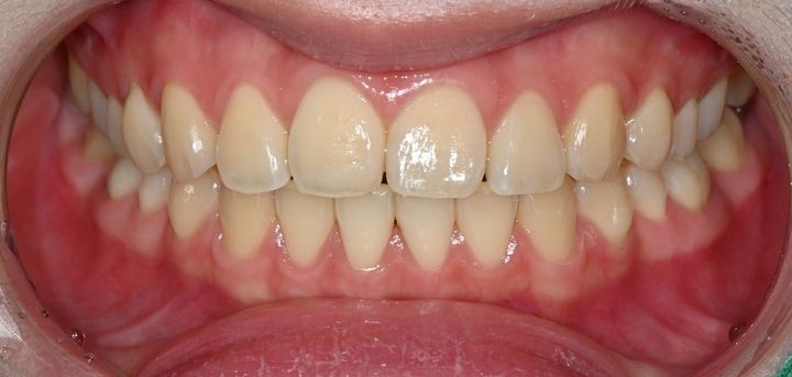
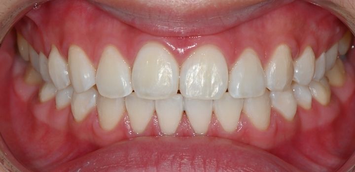
ハル歯科医院は、最先端のインプラント歯科治療に特化したクリニックです。代表のジョー・ハング院長は日本の神奈川歯科大学を卒業し、両国での歯科医師免許を保持。さらに、韓国で専門医資格を取得し、口腔外科など高度な手術経験も豊富です。すべての治療を院長自らが行う専任診療制を採用しており、流暢な日本語で対応可能。「デジタルインプラント」や「無削除ラミネート」などの最新のデジタル歯科治療を、日本の約半額で受けられます。仁川・金浦空港から乗り換えなしで行ける孔徳(コンドッ)駅すぐとアクセスも良好で、旅行者にも便利な立地となっています。
備品・設備
- 化粧水
- 乳液
- くし
- ドライヤー
- クレンジング
- 簡単なメイク用品
- タオル
- カーテン
- シャワールーム
- 個室
|
|
お店データ
| 店名 | ハル歯科医院 |
|---|---|
| 電話番号 | 02-711-7528 |
| その他連絡先 | ライン:johangu |
| 営業時間 | 月~水・金曜9:30~18:30、木曜9:30~20:30、土曜9:30~13:30 ※ブレイクタイム13:00~14:00 |
| 休業日 | 日・祝日 |
| 日本語 | 可 ※日本語スタッフ常駐 |
| 支払方法 | ウォン、円、カード(JCB,visa,master,amex) ※一部使用不可の場合あり |
| Eメール | harudent@naver.com |
| 関連サイト | ホームページ(日本語):harudent.com/jp |
- 男女OK
- 日本語可
お店データは日々最新の情報を保つべく調査・更新しておりますが、お客様の訪問時に変更している場合があります。「営業時間が異なる」「閉店していた」等の変更がありましたら、「口コミ」より編集・閉店申告にご協力ください。
韓国旅行おトク情報
韓国レストラン予約代行サービス あのお店に行ってみたい!そんな願いをコネストが叶えます
-
北朝鮮が見えるスタバ(愛妓峰平和生態公園)+聖水エリア【半日から可】北朝鮮が目の前!自由観覧もできる愛妓峰平和生態公園訪問ツアー5,808円~
-
11%OFF
空港鉄道A’REX直通列車乗車券仁川空港⇔ソウル駅43分の快適移動!当日予約も可能1,373円〜1,223円 -
12%OFF
SKテレコム正規 eSIM データ無制限(1~90日)【データ無制限・受信通話可能】SIMカード交換不要でスマートな韓国旅行686円〜604円~ -
HANJINスーツケース配送サービス 仁川空港当日・帰国日を身経に観光3,168円
-
韓国空港送迎サービス(仁川・金浦/プレミアム専用車)【日本語OK】仁川・金浦空港、先払いで安心、大人数も利用可能!8,363円~
-
15%OFF
【特別割引】「ソウルスカイ」入場チケット当日予約OK!韓国で1番高い展望台チケットを最安値で予約3,062円〜2,630円
ユーザー口コミ
5.0
(8件)
おすすめの歯医者さん
E2Kさん
もうすぐ在韓5年になる者です。今まではクリーニングも治療も他院でやってもらっていましたが、自分の住んでいるアパートの目の前にハル歯科さんがあることを最近知り早速コンタクトをとりました。先生は流暢な日本語、というより日本人にしか感じられない、柔らかく丁寧な日本語をお話しになりスタッフさん達も皆さん対応が素晴らしいです。まずはそこに安心しました。これから銀歯を白い歯にしてもらう予定ですが、信頼のおける歯医者さんに出会えてよかったです♡
おすすめの歯医者さん
E2Kさん
ソウル在住もうすぐ5年になる者です。今まで何かトラブルがあったりクリーニングをする時には、他の先生のところに通っていたのですが…自分の住んでいるアパートの目の前にあるハル歯科さんを見つけて、コンタクトをとりました。先生はもちろん受付の方や他のスタッフの方も、みなさん柔らかく優しい物腰で…小さいお子様から年配の方まで安心して(お任せ)できる歯医者さんだと思います。コンドクの駅の直近で、医院の中も清潔で十分広いです。ちなみに私は子供のころに虫歯になり銀歯になってしまったものをきれいな白い歯にしてもらいます。型を取ったところで、三日後に装着で^^楽しみです♡
治療始めます
匿名さん
韓国での歯科治療に不安はありましたが、日本語で丁寧な説明を聞いて(治療期間や費用など)、この機会に治療を始める事にしました。
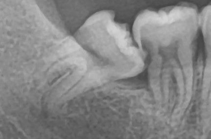
インプラント
匿名さん
日本でインプラント施術を行う予定でいましたが、色々と調べた結果、価格面でこちらで行うことを決めました。
先生との会話も日本語で行えて、海外で施術を受けるという当初の不安は無くなりました。
施術の内容や予算も相談して決められたので安心できました。また継続して訪問させていただこうと思います。
先生との会話も日本語で行えて、海外で施術を受けるという当初の不安は無くなりました。
施術の内容や予算も相談して決められたので安心できました。また継続して訪問させていただこうと思います。
ホワイトニング
会員6245385390さん
近所に住んでいる日本人でホワイトニングで訪れました。先生は日本語が流暢で歯科衛生士さんも少し日本語で対応していただけた為、安心感があります。一回のホワイトニングで歯が綺麗になったのでとても嬉しかったです。
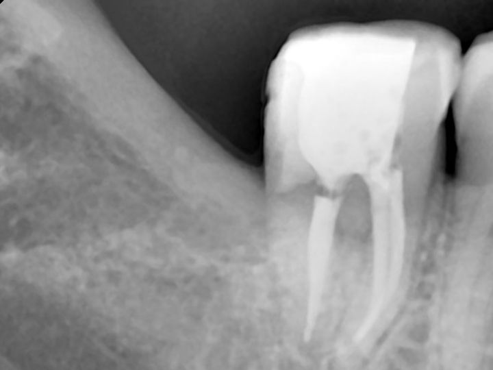
日本からインプラントをしにきました
匿名さん
日本のインプラントは高額なのでネットで韓国の歯科医院を探してました 日本語対応の歯科医はいくつかありましたが せつ術医師に直接日本語で話せるということでハル歯科医院を選びました 先生はとても親切で最初の説明からわかりやすく こちらの質問にも全て親切に答えていただきました 5本のインプラントをいちどに入れていただいたのですが とてもスムーズに5本入れることができました 費用もkonest やホームページに書いてあるとおりで 1本140万wから120万wにディスカウントしてもらい レートも一円 10w で計算していただきました 3ヶ月後にまた来院します この歯科医院を選んで良かったと思ってます
インプラントの施術をやっていただきました。
ごとびさん
海外での初めてのインプラント治療、不安で何回もどうしようか考えた結果こちらの歯科でやって頂く事を決めました。LINEで何度も連絡を取らせて頂き
分からない事、不安な事、細かい事まで色々質問させて頂き2泊3日と言う短期間の旅行の中で
インプラントの埋め込みまで済ませて頂きました。先生が日本語で丁寧に説明してくれ安心して治療を受ける事ができました。
どこまでインプラントを埋め込んだら良いか先生からの提案、説明をお聞きした上でわたし自身の予算などある為自分の希望を話させて頂き
今できる中で希望通りの治療をして頂きました。
まだ数回通う必要がある為治療が完了するまでは
先生に相談しながら無事に終える事ができると良いなと思っています。
本日は本当にありがとうございました。
まだこれから半年くらいお世話になりますがよろしくお願いいたします。
分からない事、不安な事、細かい事まで色々質問させて頂き2泊3日と言う短期間の旅行の中で
インプラントの埋め込みまで済ませて頂きました。先生が日本語で丁寧に説明してくれ安心して治療を受ける事ができました。
どこまでインプラントを埋め込んだら良いか先生からの提案、説明をお聞きした上でわたし自身の予算などある為自分の希望を話させて頂き
今できる中で希望通りの治療をして頂きました。
まだ数回通う必要がある為治療が完了するまでは
先生に相談しながら無事に終える事ができると良いなと思っています。
本日は本当にありがとうございました。
まだこれから半年くらいお世話になりますがよろしくお願いいたします。
ホワイトニング受けました。
会員8519035359さん
今回ホワイトニングを1回受けました!
歯の色もすぐ白くなったし、凍みることもなかったです!
歯医者の先生が直接日本語で診療を見てくれました。
日本の歯科大学を卒業されたからか日本語がとてもお上手でした。
病院もとても快適で何よりコンドク駅前にあって簡単に行けるのがとても良かったです。
歯の色もすぐ白くなったし、凍みることもなかったです!
歯医者の先生が直接日本語で診療を見てくれました。
日本の歯科大学を卒業されたからか日本語がとてもお上手でした。
病院もとても快適で何よりコンドク駅前にあって簡単に行けるのがとても良かったです。
予約可能な周辺ホテル
-
GDJゲストハウス-ホステルGDJゲストハウス-ホステルは、孝昌スタジアムや国立博物館から 3 km 圏内、ソウル (マポ区近く) の便利な場所に位置しています。 このホステル の 5 k…麻浦・孔徳ゲストハウス
23,773円8,042円~ -
グラッド麻浦空港鉄道駅からすぐ!弘大(ホンデ)や梨泰院(イテウォン)・東大門も地下鉄1本の好立地ホテル麻浦・孔徳4つ星15,950円~
-
新羅ステイ 麻浦空港からのアクセス抜群!観光・ビジネスに最適な新羅グループのホテル麻浦・孔徳3つ星
26,387円13,932円~ -
ロイネットホテルソウル麻浦アクセス抜群の孔徳駅近くに2022年オープン!安心の日系チェーンホテル麻浦・孔徳3つ星
27,455円19,905円~


































