時間短縮、痛みも少なく!明洞で評判の審美歯科病院
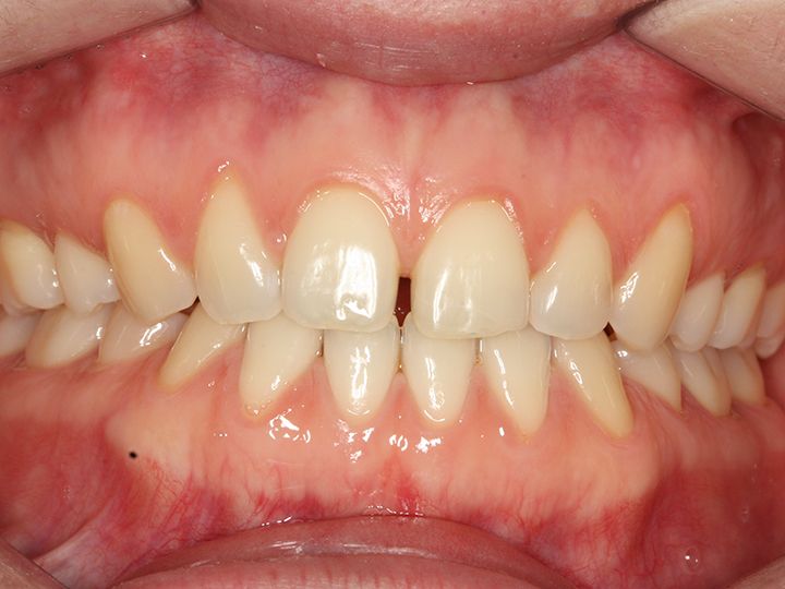
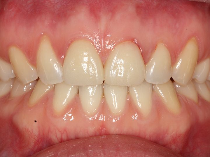
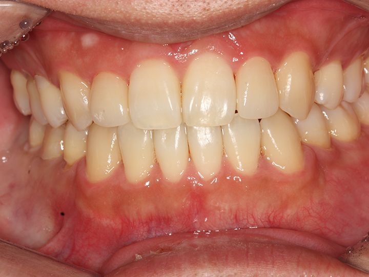
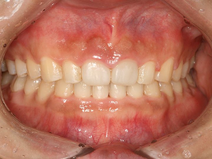
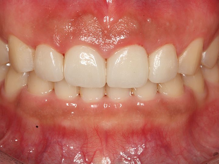
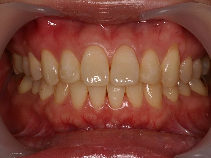
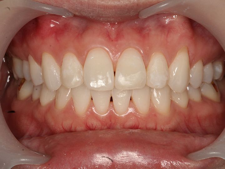
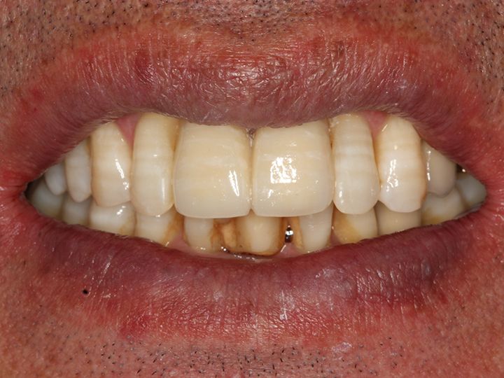
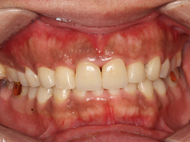
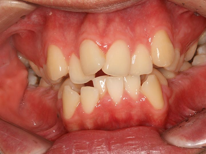
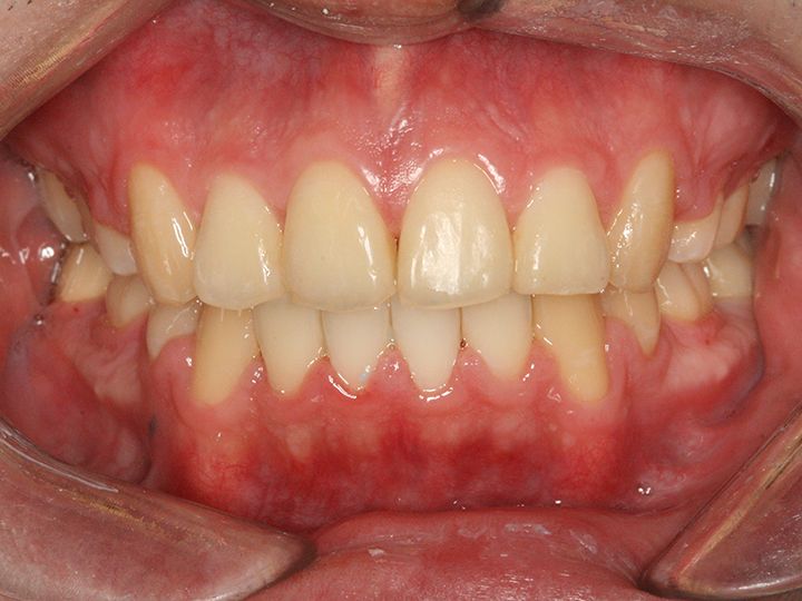
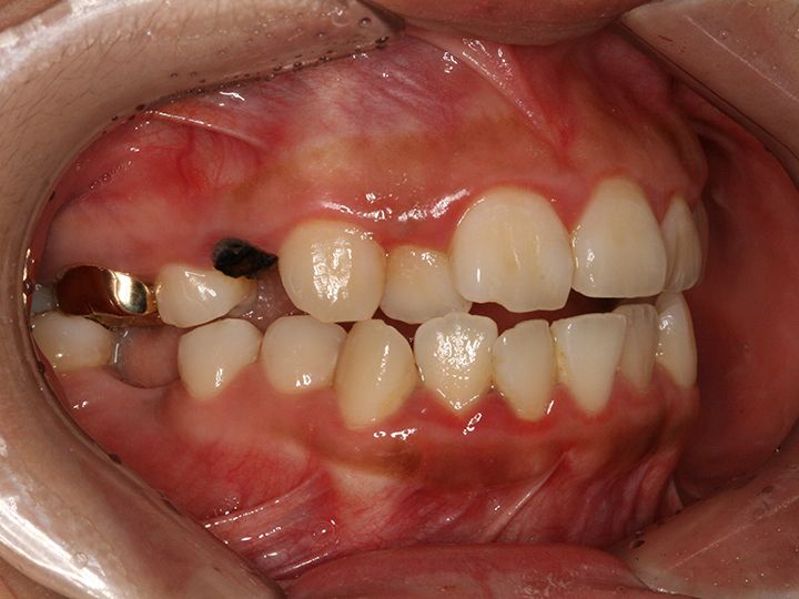
「ライムナム歯科病院」はラミネートやセラミックを使った審美治療、美白治療、インプラント、歯列矯正など、あらゆる歯の悩みに応える歯科病院です。2004年の開業以来、常に新しい技術と診療機器を取り入れ、韓国内外の患者の信頼を集めてきました。特に忙しい現代人の悩みである時間短縮治療メニューが充実。来院当日にできるだけ解決できるようなシステムを構築しています。独自の歯科技工所を持っているのもその理由のひとつ。また20年にわたるノウハウの蓄積を生かし、患者の負担を減らせるように痛みを減らす施術にも力を入れています。
コネストクーポン 他3件
備品・設備
- 化粧水
- 乳液
- くし
- ドライヤー
- クレンジング
- 簡単なメイク用品
- タオル
- カーテン
- シャワールーム
- 個室
|
|
お店データ
| 店名 | ライムナム歯科病院 |
|---|---|
| 電話番号 | 02-754-2879 |
| その他連絡先 | ライン:limedent |
| 営業時間 | 月・水・木曜9:30~18:30(ブレイクタイム13:00~14:30)、火・金曜9:30~20:30(ブレイクタイム13:00~14:30)、土曜9:30~14:30 |
| 休業日 | 日曜 |
| 日本語 | 不可 |
| その他外国語 | 英語 |
| 支払方法 | ウォン、カード(JCB,visa,master,amex) ※一部使用不可の場合あり |
| Eメール | limedent@gmail.com |
| 関連サイト | ホームページ(英語):limedent.kr ホームページ(韓国語):www.limedent.com:9006 |
| 備考 | 予約方法:ライン、メール、電話、直接訪問 |
- 男女OK
- 日本語可
お店データは日々最新の情報を保つべく調査・更新しておりますが、お客様の訪問時に変更している場合があります。「営業時間が異なる」「閉店していた」等の変更がありましたら、「口コミ」より編集・閉店申告にご協力ください。
同じエリアのおすすめ
韓国旅行おトク情報
韓国レストラン予約代行サービス あのお店に行ってみたい!そんな願いをコネストが叶えます
-
北朝鮮が見えるスタバ(愛妓峰平和生態公園)+聖水エリア【半日から可】北朝鮮が目の前!自由観覧もできる愛妓峰平和生態公園訪問ツアー5,789円~
-
韓国空港送迎サービス(仁川・金浦/プレミアム専用車)【日本語OK】仁川・金浦空港、先払いで安心、大人数も利用可能!8,337円~
-
15%OFF
【特別割引】「ソウルスカイ」入場チケット当日予約OK!韓国で1番高い展望台チケットを最安値で予約3,053円〜2,622円 -
HANJINスーツケース配送サービス 仁川空港当日・帰国日を身経に観光3,158円
-
11%OFF
空港鉄道A’REX直通列車乗車券仁川空港⇔ソウル駅43分の快適移動!当日予約も可能1,368円〜1,223円 -
12%OFF
SKテレコム正規 eSIM データ無制限(1~90日)【データ無制限・受信通話可能】SIMカード交換不要でスマートな韓国旅行684円〜602円~
ユーザー口コミ
5.0
(1件)
予約可能な周辺ホテル
-
相鉄フレッサイン ソウル明洞明洞の中心に位置!ショッピングにも観光にも最適な日系ホテル明洞3つ星
21,053円10,949円~ -
ザ・ステイヒュー明洞The Stay Hue Myeongdongはソウルの中心部にあるのでとても便利です。明洞通りへは歩いてすぐ、南大門市場へは徒歩 10 分です。 このゲストハ…明洞ゲストハウス
25,903円13,819円~ -
ホテル28 明洞明洞のメインストリート隣接!空港アクセスも抜群!明洞3つ星17,549円~
-
ステップイン明洞1明洞のど真ん中に位置!ショッピング・グルメなど観光を楽しむのに最適な立地明洞ゲストハウス8,853円~



















































